找回密码
 加入论坛

扫一扫,访问微社区

QQ登录

只需一步,快速开始

查看: 2704|回复: 2

室缺合并气管狭窄,手术时机

[复制链接]
发表于 2016-4-10 11:22:50 | 显示全部楼层 |阅读模式
先天性心脏病术前咨询
性别:
体重(Kg): 7.5
出生日期: 2015-09-26
彩超检查所在地: 上海儿童医学中心
门诊号: 63578455
检查日期: 2016-03-24
彩超报告: 附图
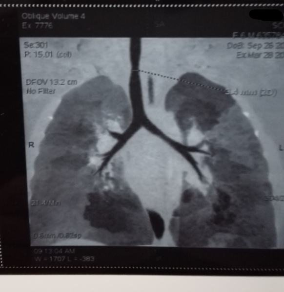
宝宝出生前彩超提示室缺,考虑比较小,就没有处理,出生后40天因为家人感冒传染后患肺炎,住院治疗后好转,2月大的时候再次因为家人感冒传染后患肺炎,比第一次重,喘息,有哭闹时间长了有紫绀,治疗好了后3月大的时候去了贵院UCG检查:室缺9mm,膜周融合型,分流弥散,左向右分流2.22m/s,肺动脉瓣轻度狭窄,肺动脉高压40.4mmHg,考虑年龄太小没有手术。随后一直未再肺部感染,呛水后有点喘息,几分钟好转,偶有咳嗽。2016年3月份半岁的时候再次前往贵院检查:彩超基本差不多,CT检查:VSD,气管中段狭窄,3.4mm,本来都住院了,但是住院部主任看了后说暂时不能手术,让回来等大点检查再说。请陆医生帮忙看看,什么时机手术最好,非常着急,求解答,谢+ T( A, ]1 K. i) y
1 G2 W3 ^/ S3 ?" l9 t( g
1.jpg (775.88 KB, 下载次数: 0)
1 K% {$ g, h& B0 G  z  ?0 g* j; R; a+ p# X7 i
2.jpg (692.05 KB, 下载次数: 0) $ p2 E$ T0 E" y/ m
3.jpg (690.98 KB, 下载次数: 0) ; n% g. W7 W! W, @' u) E
4.jpg (654.58 KB, 下载次数: 0) 9 c5 a% O! Q( {! J/ Z; B

+ g# }! r: E6 R& Y0 j9 q  j
0 y7 X$ H  K& D. @9 Y
& `! j) ?, J$ M: F$ {. U
7 Z8 \/ S2 h; X
) x' x! m) A' w" y5 S# i5 b# K3 S
更多图片 小图 大图
组图打开中,请稍候......
     
发表于 2016-4-20 22:12:09 | 显示全部楼层
我认为这种情况的气道狭窄并非是手术的反指征,推荐看徐志伟教授的门诊一下。
回复 支持 反对

使用道具 举报

 楼主| 发表于 2016-4-26 14:46:58 | 显示全部楼层
好的,非常感谢。
回复 支持 反对

使用道具 举报

您需要登录后才可以回帖 登录 | 加入论坛

本版积分规则

社区首页| 家园首页| 群组首页|手机版|上海市东方路1678号 021-38626161|关于我们|沪ICP备15019786号-1|

快速回复 返回顶部 返回列表